Opis
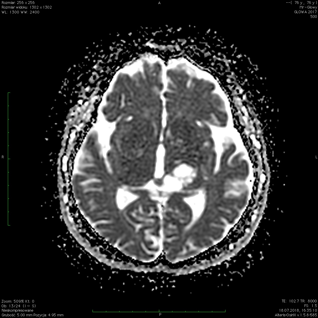
W przyśrodkowej części lewej półkuli mózgu, w okolicy lewego wzgórza, lewej torebki wewnętrznej i lewego konara mózgu, widoczna jest nieregularna policykliczna zmiana o płynowych wartościach sygnału z licznymi przegrodami, o wymiarach ok. 27x15x32 mm, nieulegająca wzmocnieniu kontrastowemu. Zmiana wydaje się łączyć z okolicą zbiornika blaszki czworaczej po stronie lewej.
Obraz może odpowiadać torbielom wzgórza.
dr n. med. Jacek Brzeziński
